为进一步加强妇科肿瘤亚专科与介入科的学科融合,深化妇科肿瘤微创治疗中心“大专科、小综合”特色的学科群建设,11月26日,在孙阳副院长主持下,妇科医师与介入科医师举行一场热烈的研讨会。介入科主任林海澜主任医师总结回顾2018至2020年我院妇科与介入科合作开展的临床工作,胡育斌副主任医师作《妇科肿瘤相关介入治疗》专题讲座,随后林海澜主任及多位介入科医师就晚期宫颈癌和复发性宫颈癌的介入治疗与妇科医师们进行了深入的学术探讨。

我院妇科现每年收治入院的首诊宫颈癌患者达2000余例,其中相当一部分为晚期及病情复杂患者,在手术、放疗、化疗的“三驾马车”基础上,我院介入科与妇科合作开展宫颈癌双髂内动脉区域灌注化疗术及子宫动脉化疗栓塞术,在近30年的临床实践中积累了数千例的宫颈癌介入化疗经验,目前正在开展碘125粒子组织间内放射治疗和射频及微波消融术,为复发性宫颈癌及晚期妇科肿瘤转移病灶探索新的治疗手段。同时近年来我院介入科在妇科良性肿瘤的介入治疗方面也治疗了许多的患者积累了丰富的经验。

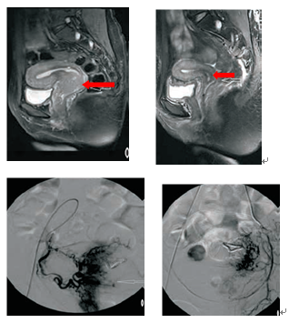
宫颈癌Ⅲb期(巨块型),介入治疗联合放疗后四个月,肿瘤近乎消失
围绕新的共同目标和研究方向,由若干同类学科或跨学科集合而成的学科群,无论是在增强医院整体实力还是在解决临床实际问题上,都具有十分明显的优势,对学科的发展具有重要的现实作用和长远的战略意义。
我院妇科肿瘤微创治疗中心以妇科为“龙头”,充分发挥辐射带动作用,联合肿瘤内科、肿瘤外科、疼痛科、介入科、超声科、放射科及病理科等相关学科,开展系列学科群建设活动,搭建内外科融合、多学科交叉渗透的中心运行模式,走“大专科、小综合”特色,用“微创治疗”、“精准治疗”的理念为患者提供更加人性化的医疗服务。
上一篇:垒土沙龙第78期内容预告