无障碍浏览
科学研究

当前位置:首页 > 学术科研 > 科学研究

【鼻咽癌诊治中心】晚期鼻咽癌患者的八年生命长跑——个体化治疗策略破解全身转移困境

发布时间 :2025-09-12 09:43 | 来源:本网

  近日,我院鼻咽癌诊治中心通过全程管理与个体化多学科综合治疗方案,让晚期鼻咽癌患者成功实现了临床治愈,破局全身转移的治疗困境。

  在马礼钦主任医师的诊室里,一份跨越8年的病历见证了这一抗癌过程。
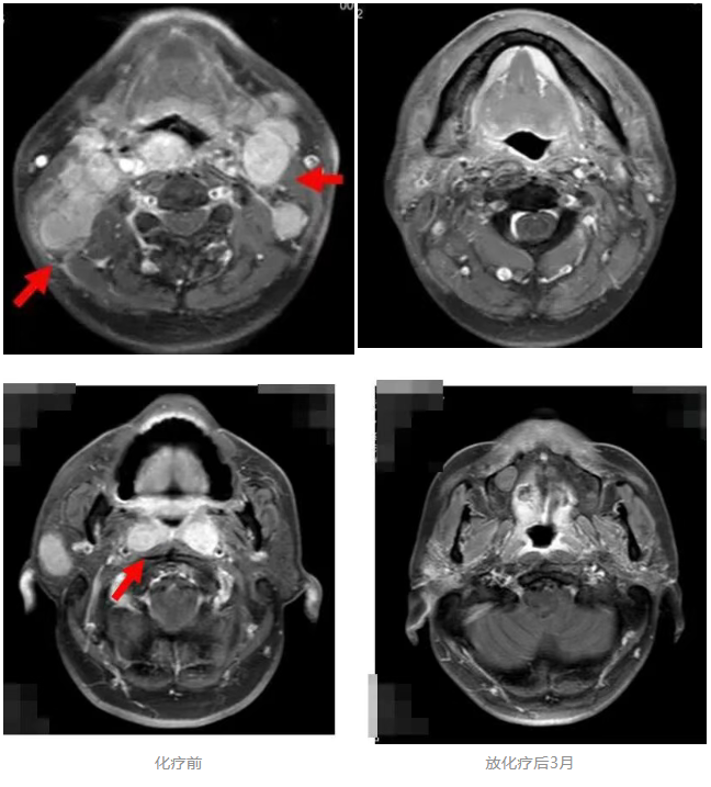
  2017年4月,患者林先生(化名)确诊非角化性未分化型鼻咽癌伴双颈部及锁骨上淋巴结转移、肝转移,血EB病毒DNA载量(EB-DNA)高达176000拷贝数/ml,病情已达晚期。经TP方案全身化疗及容积旋转调强放疗(VAMT)后,EB-DNA成功清零,影像复查肿瘤基本消失。患者个人原因未行进一步维持治疗,后门诊定期复查。
  随访过程多次监测到EB-DNA升高(均小于1000拷贝数/ml),马礼钦团队谨慎排查后均提示新发病灶,并认真制定合适患者的治疗策略。
  2018年2月发现腰椎及腹膜后淋巴结转移,行GP方案化疗+转移灶VAMT放疗,后配合替吉奥节拍化疗;
  2019年12月发现右髋臼及股骨转移,予VAMT局部放疗并继续联合替吉奥维持治疗;
  2021年11月发现右鼻腔复发,行螺旋断层放疗(TOMO)配合替吉奥口服化疗。患者每次局部放疗后均实现EB-DNA转阴,进一步复查影像学病灶消退。
 
  目前,患者仍坚持调整性(减量、间隔周期)口服卡培他滨,无明显副反应,最新复查显示EB病毒DNA阴性持续4年左右,影像学检查未发现复发或转移,保持临床治愈状态。


  马礼钦主任医师介绍,在晚期鼻咽癌治疗中,当全身化疗成功控制肿瘤(尤其转移灶)、降低肿瘤负荷使病情进入相对稳定阶段后,后续管理便如同一场考验耐力的“马拉松赛”。而该成功案例的制胜点为三大核心策略构建起精准高效的抗癌防线:
  ❖ EB病毒动态导航、病情监测的“前哨兵”——定期复查、多次预警转移/复发,及时干预后清零;
  ❖ 精准放疗、病灶“定点歼击手”——针对鼻咽、淋巴结、骨、鼻腔复发灶实施局部放疗;
  ❖ 低毒、便捷替吉奥节拍化疗,作为“长效控局者”——持续口服,成为EB-DNA波动期的 "快速响应单元" ,有力巩固治疗成果。
  EB病毒监测好比“配速员”,实时把控病情节奏;精准放疗是关键“冲刺段”,可针对性清除局部风险病灶;维持治疗则是“补给站”,持续巩固疗效。
  这三者动态配合、协同发力,即便对鼻咽癌晚期患者,也为破局困境、 创造生命奇迹提供了可能性。我院将持续优化这一全程管理体系,让更多患者在科学“导航”下,突破晚期肿瘤的生存局限。
 
  福建省肿瘤医院肿瘤放疗科鼻咽癌学科群是福建省规模最大的头颈临床专科放射治疗学科群,是国家临床重点专科(肿瘤科)建设项目单位主要学科群之一、福建省特色领先学科,福建省肿瘤医院临床重点专业科室,人才、设备、技术、科研、教学的实力达国内一流水平。开科40年来,科室积极开展鼻咽癌诊治科学研究,积极开展诊疗的各项新技术,使得鼻咽癌的疗效得到大幅提高。现设2个专科病区,110余张床位,拥有一支技术力量雄厚、临床经验丰富的专家队伍,共有主任医师9名(二级主任医师4名),副主任医师10名,博士生导师3名,硕士生导师6名,福建省高层次人才7名,享受国务院政府特殊津贴专家2人。目前,年接诊鼻咽癌病例约1000例,承担了全省约一半的鼻咽癌患者的放射治疗任务。
  鼻咽癌诊治中心/供稿
  潘君萍 方卫宁/文
  马礼钦 邱素芳/审
附件下载:
相关文档