无障碍浏览
特色医疗技术

当前位置:首页 > 医疗服务 > 特色医疗技术

【胸部肿瘤外科·医疗案例】“针孔消融+单孔微创”杂交手术同时解除2个高危肺结节

发布时间 :2024-08-01 16:12 | 来源:本网

  近日,我院胸部肿瘤外科方卫民主任医师团队通过“针孔消融+单孔微创”的杂交手术,为患者同时解除2个高危肺结节,手术切口仅为一个针眼加一个3cm的微创切口。

  
 
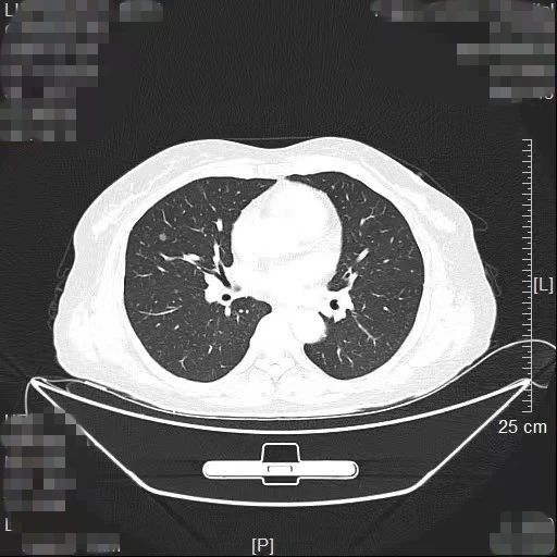
  患者林女士今年65岁,长期旅居国外的她在回国后常规体检时查出右肺有2个高危的磨玻璃结节,慕名找到我院胸部肿瘤外科方卫民主任医师。医生团队详细分析了患者的肺部CT及三维重建结果,发现2个结节分别位于右上肺后段边缘及右中肺叶中央,如果直接采用手术切除的方法,要多切除整个右肺中叶,将损失较多的正常肺组织,影响生活质量,得不偿失。
 
三维重建结果
  由于患者签证时间将到,无法分次手术,医生团队经过反复讨论,最终为患者量身定做了“针孔消融+单孔微创”的杂交手术方案。首先在医院肿瘤与血管微创介入治疗中心CT引导下为患者右中肺叶结节进行热消融治疗,仅仅一个针眼;接着进行单孔胸腔镜亚肺段切除,仅仅一个3cm大小的切口,术中冰冻病理报告:原位腺癌,疑有浸润。顺利为患者解除了肺部的2个健康隐患。
 
  方卫民介绍,微创切除仍是治疗高危肺结节首选方式,而对于多发肺结节的患者,如果仅靠手术,将会损失较多肺功能,影响生活质量和治疗效果,针对结节在肺里面的不同部位,以”针孔热消融+单孔微创“的杂交模式可以很好解决问题,提高手术精准度,为患者最大限度的保留肺组织,治疗高危肺结节的同时获得更好的生活品质。
附件下载:
相关文档