无障碍浏览
特色医疗技术

当前位置:首页 > 医疗服务 > 特色医疗技术

【肿瘤与血管介入微创治疗中心·医疗案例】“生死时速”——精准救治胸主动脉食管瘘引发的急性上消化道大出血患者

发布时间 :2024-09-03 18:29 | 来源:本网

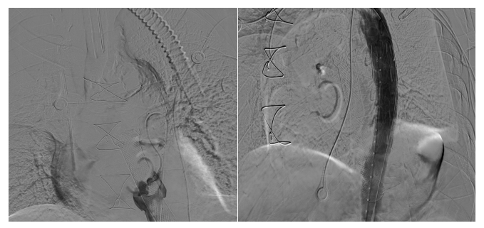
  近日,在方主亭副院长带领下,我院肿瘤与血管介入微创治疗中心陈示光主诊团队成功为一位胸主动脉食管瘘(aortoesophageal fistula,AEF)引发的急性上消化道大出血、失血性休克患者进行紧急救治,通过微创血管腔内隔绝治疗技术,成功修复胸主动脉破口,将患者从死亡线上拉回。

  食管癌患者张先生在过去一年中与病魔反复搏斗。日前,他突发大量呕血、失血性休克,伴随强烈的窒息感、心率迅速加快及血压急速下降,生命垂危。
  面对紧急情况,在方主亭副院长指挥下,重症医学科叶勇主任团队、介入科陈示光主诊团队迅速集结,开展一系列紧急治疗措施——气管插管、输血、补液和使用血管活性药物,患者的生命体征逐渐趋于稳定。胸主动脉CTA检查明确为AEF后,团队一致决定采取胸主动脉腔内隔绝治疗。
  在与患者家属充分沟通并征得同意后,方主亭副院长带领陈示光主诊团队迅速、精准实施了手术。术中清晰显示造影剂从胸主动脉破口流入食管。经过一系列精细的介入操作,支架成功贴合胸主动脉,精准隔绝破口。术后造影确认破口已被有效封闭,张先生呕血、黑便等消化道出血症状消失,血红蛋白水平逐渐回升,急性上消化道大出血得到了有效控制。
  方主亭副院长介绍,胸主动脉食管瘘(AEF)是一种临床罕见且病死率极高的病症,其成因多样,包括胸主动脉瘤、食管异物、恶性肿瘤、主动脉损伤、穿透性溃疡破裂及胸主动脉瘤支架置入术后并发症等。大部分AEF表现为Chiari三联征,首先是胸痛/吞咽困难,随即出现前兆性动脉出血,一段时间后发生迅速且致命的大出血,时间间隔为数小时至数天不等。尽管开放手术是治疗AEF的根治办法,但由于其伴随的高风险,并非每位患者都适合接受。在这种情况下,胸主动脉置入腔内隔绝术,为急诊治疗提供了另一种可能,特别适用于身体状况不允许或无法承受开胸手术的患者。同时,成功救治AEF患者需要多学科团队的密切合作和迅速反应。我院肿瘤与血管微创介入治疗中心汇聚肿瘤与血管介入科、胸外科、胸部肿瘤内科、影像科、重症医学科等多学科专家,形成了在AEF治疗领域的显著优势。通过这种跨学科的合作模式,能够为患者提供更加精准、高效的治疗方案。
  
科室介绍
  复旦大学附属肿瘤医院福建医院肝胆胰肿瘤诊治中心作为国家肿瘤区域医疗中心建设的创新项目,整合外科、内科、介入科、放疗科等方面优质资源和先进技术,为患者提供一站式、一体化服务。是国内最早一批开展钇90-SIRT肝肿瘤介入治疗的单位,也是福建省首家开展该技术的单位。
  肿瘤与血管微创介入治疗中心是肝胆胰肿瘤诊治中心重要组成部分,是国家肿瘤区域医疗中心建设优先发展科室。是福建省内具有完善的肿瘤介入治疗体系的少数医院之一,临床,教学,科研同步发展,具有丰富的血管介入治疗手段的同时还有丰富的非血管介入治疗技术,常规开展肝动脉化疗栓塞术(TACE)、肝动脉持续灌注化疗术(HAIC)、肝动脉栓塞术(TAE)、肝动脉放射性栓塞术(钇90微球放射性介入治疗)、经皮门静脉栓塞术(PVE)、经皮食管胃底曲张静脉栓塞术(PTVE)、经皮脾静脉栓塞术(PSE)、经颈静脉门体静脉分流术(TIPS)、门静脉支架+125I粒子条植入术、胆道支架+125I粒子条植入术、射频消融术(RFA)、微波消融术(MWA)、经皮碘125放射性粒子植入术、经皮肝穿刺胆道引流管置入术(PTCD)、腔静脉支架植入术、髂静脉支架植入术,腹腔神经阻滞术、静脉输液港植入术等。对头颈部肿瘤、胸部肿瘤、肝胆胰脾肿瘤、消化道肿瘤、妇科肿瘤、软组织肉瘤及肿瘤相关血管疾病的介入治疗有丰富经验。
附件下载:
相关文档